PARAMARIBO – Wat eerst leek op een hardnekkige griepgolf in Suriname, blijkt achteraf in meerdere gevallen…
Continue ReadingTag: Suriname
Ex-minister Riad Nurmohamed vraagt Surinamers om vergiffenis
PARAMARIBO – Voormalig minister van Openbare Werken, Riad Nurmohamed, heeft in een boodschap aan het Surinaamse…
Continue Reading
Cedric van Samson: “Als ik een deel van mijn leven aan Santokhi kon schenken, zou ik het doen” Mi ready
PARAMARIBO – Politiek commentator Cedric van Samson heeft zich in krachtige bewoordingen uitgesproken over voormalig president…
Continue Reading
Cedric van Samson haalt fel uit naar NDP: “Groot, maar zonder inhoud… gewoon hersenloos!”
Tijdens een VHP-meeting heeft Cedric van Samson stevige kritiek geuit op de Nationale Democratische Partij (NDP).…
Continue Reading
Jogi: Santokhi is de beste president die Suriname ooit heeft gehad
Volgens Mahinderbestaat daar geen twijfel over: Chan Santokhi zou de beste president zijn geweest die Suriname…
Continue Reading
Ontucht beschuldigingen te Surinaamse RK pastoor (S.) zorgen voor geruchten,
Paramaribo – De beschuldigingen van ontucht tegen een bekende Surinaamse pastoor, aangeduid met de initiaal S.,…
Continue Reading
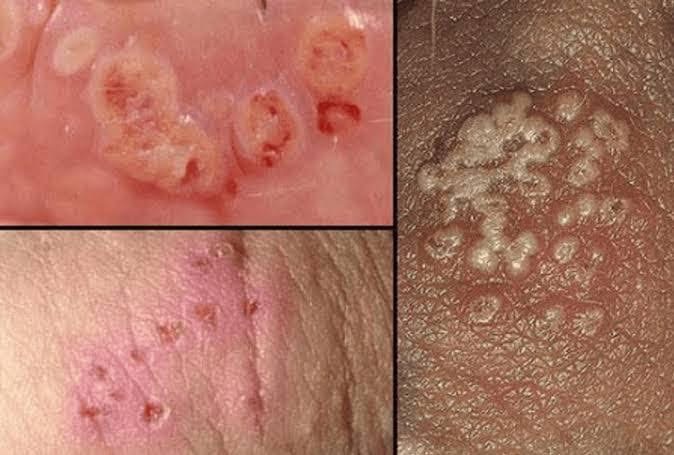
Alles over Soa-Symptomen: Een Gids over Bacteriën, Virussen en Parasieten
Seksuele gezondheid is een essentieel onderdeel van ons welzijn, maar er rust vaak nog een taboe…
Continue Reading